Como una decoración, muestra de afecto, identidad o por simple gusto personal, los tatuajes forman parte de la vida de la gente desde hace muchos años, sin embargo no ha sido hasta tiempos recientes que los expertos se han detenido a estudiar la ciencia detrás del tatuaje. ¿Cuál es el papel de nuestros sistema inmune en la formación de los tatuajes?, ¿por qué la tinta pierde intensidad pero no desaparece? Aquí las respuestas.
Por Rafael Sirera Pérez
Catedrático de Biología Celular en el Departamento de Biotecnología. Investigo en Inmunología y Biología Molecular del Cáncer en la Unidad Mixta del Hospital General y el Centro Príncipe Felipe, Universitat Politècnica de València
Madrid, 17 de abril (The Conversation).- A mucha gente le gusta decorar su cuerpo con tatuajes, están de moda, y los que los llevan los lucen con gusto y orgullo. Los tatuajes existen gracias a que tenemos artistas y a que se ha desarrollado la técnica de introducir tinta de colores dentro de la piel. A las células del sistema inmunitario les corresponde el rol de hacer que no sean efímeros, perduren en el tiempo y conserven tanto su tonalidad como la integridad de sus trazos. Todo esto, sin permitir que apenas se difuminen o dispersen por la piel.
El ser humano se tatúa desde hace más de cinco mil años y, aunque parezca mentira, hasta hace apenas tres años nadie se había parado a estudiarlo científicamente. En este artículo explicaré cómo participa el sistema inmunitario en la fijación de los tatuajes.
LA PIEL
Anatómicamente, la piel consiste en tres capas de tejido apiladas. La capa más externa es la epidermis, que es un estrato córneo que nos aísla y nos protege del medio externo. A continuación tenemos la dermis, una capa fibrosa y elástica que soporta y refuerza la epidermis. Para terminar tenemos la hipodermis, que es un tejido más graso que nutre a las otras dos capas, a la vez que es un buen aislante mecánico y térmico.
Veamos con un poco más de detalle las dos capas más externas.

La epidermis no es una monocapa, sino más bien muchas capas apiladas de células haciendo estratos. Las células que más abundan son los queratinocitos, que se caracterizan por estar tan firmemente unidos entre sí que hacen que la piel sea impermeable. En verano podemos ver fácilmente esta fuerza de unión: cuando nos quemamos por el sol podemos arrancar grandes parches de las células muertas, que se mantienen juntas por estas uniones.
Las células que están en la parte más externa producen tanta queratina (proteína fibrilar dura que forma pelos, uñas, pezuñas y cuernos en los animales) que al final mueren y pierden hasta el núcleo celular, pero se mantienen en la piel formando ese aislante córneo. Embebidos entre los queratinocitos tenemos los melanocitos, que nos protegen de la radiación ultravioleta y pigmentan la piel y a las células de Langerhans, que son un tipo de células dendríticas (del sistema inmunitario) con la importante característica, por su ubicación, de ser muy resistentes a las radiaciones.
Dependiendo de la localización, la epidermis tiene más o menos capas (la planta de los pies tiene muchas en comparación con la piel en el antebrazo, que es más fina y sensible). Mientras que los queratinocitos se intercambian cada dos o tres semanas, los melanocitos y células de Langerhans viven años en la epidermis. Viven tanto que hasta la exposición ambiental las pueden convertir en células malignas y provocar melanomas e histiocitosis respectivamente.
La dermis es la segunda capa, compuesta por una matriz de tejido conectivo muy elástico gracias al colágeno y a los glicosaminoglicanos, que están muy hidratados. Embebidos en la matriz tenemos tanto los folículos pilosos como las glándulas sebáceas y las sudoríparas, junto con terminaciones nerviosas y vasos sanguíneos y linfáticos.
Además hay fibroblastos, que son las células que producen esta matriz. Como no podía ser de otra forma, en la dermis tenemos otros componentes inmunitarios como macrófagos, otras células dendríticas y linfocitos. Las células de Langerhans, las dendríticas y los macrófagos son células presentadoras de antígenos: fagocitan a los invasores y se los muestran a los linfocitos, que son las células de la inmunidad adaptativa.
Hay una diferencia muy importante entre las células de Langerhans y el resto. Mientras que los macrófagos y las dendríticas se van repoblando constantemente a partir de células precursoras de la sangre, las de Langerhans se situaron en la piel durante el desarrollo embrionario y sólo se regeneran a partir de ellas mismas.

EL TATUAJE
La tinta de los tatuajes está basada en pigmentos insolubles, principalmente basados en la química del carbono o metálicos, que forman una dispersión coloidal en un liquido contenedor. Las agujas que usa el tatuador se meten entre 50 y tres mil veces por minuto a distintas profundidades, dejando su carga de tinta dentro de la piel tanto en la epidermis como en la dermis, donde se asienta por capilaridad.
Sólo una fracción de la tinta que coloca un artista llega a la dermis, y esta es también la razón por la que los nuevos tatuajes tienden a perder tinta a medida que se curan. Durante muchos años se pensó que los fibroblastos eran los que mantenían la tinta inyectada en su sitio. Hoy en día sabemos que esto no es así.
Este proceso de inyección tiene dos consecuencias sobre nuestra piel. La primera es que estas punciones crean lesiones en la piel y desencadenan el proceso de reparación tisular. La segunda es que la tinta es un agente extraño y, por consiguiente, se debe actuar contra ella e intentar destruirla y eliminarla. Ambas actividades son inducidas y realizadas por nuestro sistema inmunitario.
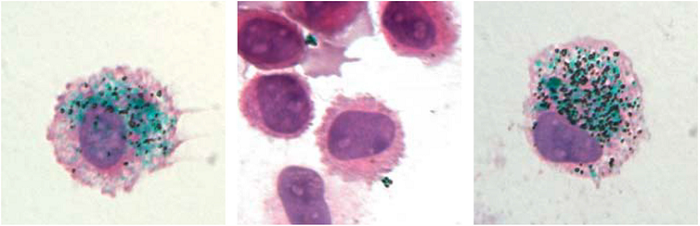
Además, la piel recién tatuada se hincha, de la misma manera que respondería cualquier otra herida, y la sangre y la linfa se llevan hasta los más pequeños trozos de tinta. Y ahora llegan los grandes protagonistas de nuestra historia: los macrófagos y las células dendríticas de la piel.
Con el objetivo de protegernos de estas microlesiones, van a migrar (moverse) hacia esa zona del tejido lesionado y, una vez allí, secretarán proteínas reparadoras y activarán a los fibroblastos para que colaboren en la reversión del daño tisular. Al llegar allí también se van a encontrar con esas partículas extrañas de la tinta, mejor dicho, con las partículas insolubles de la tinta que no se drenaron por la circulación, y las van a fagocitar (meter dentro de la célula).
Al fagocitar, los macrófagos realizan tres funciones: por un lado eliminan de la matriz la amenaza y por otro lado, ya dentro de la célula, dirigen lo engullido a los lisosomas, que son auténticas máquinas de destrucción. Así los macrófagos harían desaparecer la tinta y repararían las lesiones ocasionadas. La tercera función sería la que ya hemos comentado: la presentación antigénica a los linfocitos.
A estas alturas ya sabemos que este proceso fagocítico no es tan eficiente como debería ser, pues los tatuajes no desaparecen y perduran. Ello se debe a dos causas.

En primer lugar, ese carbono mineral o metales de la tinta no son biodegradables, por lo que el macrófago, a pesar de poner todo su empeño y generar enzimas y ácidos, no es capaz de destruirlos, y lo único que consigue es almacenarlos en vesículas (vacuolas) en su interior celular.
En segundo lugar, y debido a que la cantidad de tinta que penetra es muy elevada en el contexto del tamaño de una célula, esta fagocitosis se da de forma tan masiva que los macrófagos engordan tanto que son incapaces de desplazarse a través de los espacios que genera la matriz extracelular de la dermis. Es por ello por lo que se fijan con mucha precisión en el lugar de la punción, y la acumulación de muchos macrófagos por milímetro cuadrado hace que la tinta del tatuaje sea visible y permanente.
EL SECRETO DE LA PERMANENCIA DEL TATUAJE
En biopsias ya se había visto que la captación de tinta era mayor en los macrófagos que en los fibroblastos. Pero, aunque ambos tipos celulares viven muchos años, acaban muriéndose. Entonces, ¿qué es lo que hace que la tinta siga quedándose en el mismo sitio? Cuando un macrófago muere, simplemente libera las partículas de tinta que había estado almacenando y que quedan atascadas momentáneamente entre la matriz y los fibroblastos.
Rápidamente aparece otro macrófago, limpia los restos celulares y engulle las partículas y las vuelve a fijar precisamente en el mismo sitio. Además, las partículas de pigmento presentes en la tinta del tatuaje son bastante grandes y, debido a su tamaño, no se drenan a los ganglios linfáticos a través de los vasos linfáticos.
Así que tan pronto como son liberados por macrófagos moribundos, permanecen atascados hasta que otro macrófago los ingiere. Las células de Langerhans también incrementan su número en las zonas tatuadas y participan de manera análoga en el mantenimiento de los tatuajes.
La trascendencia de un tatuaje va más allá de quedarse en la piel. Además de los macrófagos, en la piel tenemos células dendríticas y células de Langerhans que, aunque son estáticas como los macrófagos, tienen la peculiaridad de que cuando fagocitan se transforman en células móviles. Su objetivo es migrar desde la piel hasta los ganglios más próximos para intentar generar una respuesta inmunitaria adaptativa contra el invasor, en este caso la tinta.
Cuando las células dendríticas mueran, los macrófagos del ganglio fagocitarán también estas cargas de tinta que llevan a los ganglios, cerrando el circulo y haciendo que la tinta perdure en los ganglios. Antes dije que la tinta no drena a través de la linfa, y así es: si aparece en lo ganglios es por el transporte de la misma por células dendríticas.
Esta tinción de tejidos y ganglios se puede hacer bajo otras circunstancias, como la exposición a partículas de polvo contaminante por trabajar en una mina, fumar o por la misma polución ambiental de las ciudades tiñendo de negro los pulmones. A esta tinción la llamamos antracosis.

Afortunadamente, este transporte de la tinta se da en mucha menor magnitud y los que se tatúan no tienen teñidos los ganglios con la misma intensidad que la piel.

¿Cómo se pueden eliminar los tatuajes con láser? Sencillamente, la luz del láser tiene una longitud de onda que absorbe las partículas de tinta. Esta luz es energía que capta y rompe en partículas de menor tamaño. Haciendo este proceso repetidas veces se consigue que las partículas sean lo suficientemente finas para que se difuminen en el tejido y al final desaparezcan.
En definitiva, esta forma de expresión humana tiene mucho de arte, mucho simbolismo y mucha fisiología de la respuesta inmunitaria. A la precisión del artista se le alía la precisión del sistema inmunitario, y gracias ambos logran lo que tanto desea el portador de los tatuajes, su inmutabilidad a pesar del paso del tiempo.




