La portuguesa de 40 años, no identificada, rechazó las múltiples propuestas que los médicos le han hecho para someterla a una cirugía y corregir el defecto de nacimiento.

Ciudad de México, 15 de febrero (RT/SinEmbargo).-En el hospital Figueria da Foz, al sur de Porto (Portugal), varios médicos quedaron boquiabiertos al descubrir dos canales anales en una mujer de 40 años, informa The Daily Mail.
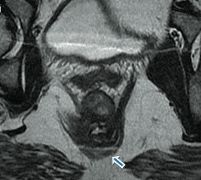
De acuerdo con el periódico, la paciente –no identificada– acudió al centro médico por sufrir abscesos en su parte trasera. Al examinarla, los especialistas se llevaron la sorpresa de encontrar no uno sino dos agujeros anales, en una evidente y rara malformación del tracto digestivo.
Fisiológicamente, la materia fecal pasa a través del canal anal, que se conecta directamente con el recto, donde se almacenen los residuos antes de dejar el cuerpo. En teoría, la mujer podría haber sido capaz de excretar a través de ambos canales. No obstante, los médicos determinaron que su segundo canal, de tan solo 3 centímetros de profundidad y un centímetro de ancho, no estaba vinculado con la pared rectal, aunque se hallaba separado del canal principal sólo por la piel.
Según informa el diario, la paciente ha rechazado la insistente propuesta de los médicos para corregir, mediante una cirugía, ese defecto de nacimiento.






